Stories
R&D: Medical
R&D: Medical
R&D: Medical
R&D: Medical
From the Editor: Medical
MedAccred Makes Its Mark
Features: Packaging & Sterilization
Briefs: Medical
Briefs: Medical
Features: Software
Features: Medical
Features: Connectivity
Briefs: Medical
Briefs: Medical
Briefs: Electronics & Computers
Applications: Medical
Briefs: Medical
Global Innovations: Medical
Features: Medical
Products: Test & Measurement
Features: Medical
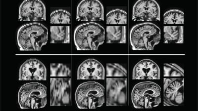
News: Materials
News: Medical
NPI/Medical Invests Over $1 million in Molding, Quality Equipment
News: Medical
Qosina Acquires Alpha Industries
INSIDER: Medical
INSIDER: Medical
INSIDER: Medical
News: Medical
Medical Development Group and Tech Briefs Media Announce Partnership, Launch Event
INSIDER: Medical
Top Stories
INSIDER: Medical
Brain Implant Enables Safer Drug Delivery
INSIDER: Sensors/Data Acquisition
Pill-Sized Bioprinter Can Be Guided to Disease Site
Products: Wearables
INSIDER: Medical
Wireless Patch Enables Early Cancer Detection
INSIDER: Medical
Boston Scientific to Acquire Nalu Medical, Inc.
Features: Wearables
The Promise and Challenge of On-Body Biosensors: A Perspective on Clinical...
Ask the Expert
Eric Dietsch on the Benefits of Nitinol Wire
In collaboration with the Fort Wayne Metals Engineering team, Eric Dietsch focuses on supporting customers with material recommendations, product development, and education. Eric is available to help you and your company with any Nitinol-related questions or needs that you may have.
Webcasts
Podcasts: Design
Developing Sustainable Drug-Delivery Devices
Podcasts: Medical
Smarter Pathways for Precision Drug Delivery in Cancer Care
On-Demand Webinars: Connectivity
Understanding Testing and Compliance Requirements for Wireless Medical Devices
Podcasts: Medical
Personalized Medicine and Drug Delivery
Podcasts: Manufacturing & Prototyping
Material Science Innovations for Medical Devices
Podcasts: AR/AI
Automation, Robotics, and AI Integration in Medical Manufacturing
Inside Story
Inside Story: Trends in Packaging and Sterilization
Eurofins Medical Device Testing (MDT) provides a full scope of testing services. In this interview, Eurofins’ experts, Sunny Modi, PhD, Director of Package Testing; and Elizabeth Sydnor, Director of Microbiology; answer common questions on medical device packaging and sterilization.

