Stories
INSIDER: Medical
From the Editor: Connectivity
Your Cyberattack Wake-Up Call
R&D: Medical
R&D: Medical
R&D: Medical
R&D: Medical
R&D: Medical
R&D: Medical
Features: Medical
Technology Leaders: Medical
Briefs: Electronics & Computers
Features: Medical
Briefs: Medical
Technology Leaders: Medical
Briefs: Medical
Disposable, Point-of-Care Sensor Provides Rapid Diagnosis
Products: Medical
Global Innovations: Medical
Briefs: Medical
Briefs: Medical
Features: Medical
Briefs: Medical
Briefs: Energy
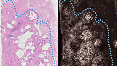
Features: Imaging
Features: Medical
Technology Leaders: Medical
News: Photonics/Optics
INSIDER: Medical
INSIDER: Medical
Top Stories
INSIDER: Medical
Brain Implant Enables Safer Drug Delivery
INSIDER: Sensors/Data Acquisition
Pill-Sized Bioprinter Can Be Guided to Disease Site
Products: Wearables
INSIDER: Medical
Wireless Patch Enables Early Cancer Detection
INSIDER: Medical
Boston Scientific to Acquire Nalu Medical, Inc.
Features: Wearables
The Promise and Challenge of On-Body Biosensors: A Perspective on Clinical...
Ask the Expert
Ralph Bright on the Power of Power Cords
Understanding power system components and how to connect them correctly is critical to meeting regulatory requirements and designing successful electrical products for worldwide markets. Interpower’s Ralph Bright defines these requirements and explains how to know which cord to select for your application.
Webcasts
Podcasts: Design
Developing Sustainable Drug-Delivery Devices
Podcasts: Medical
Smarter Pathways for Precision Drug Delivery in Cancer Care
On-Demand Webinars: Connectivity
Understanding Testing and Compliance Requirements for Wireless Medical Devices
Podcasts: Medical
Personalized Medicine and Drug Delivery
Podcasts: Manufacturing & Prototyping
Material Science Innovations for Medical Devices
Podcasts: AR/AI
Automation, Robotics, and AI Integration in Medical Manufacturing
Inside Story
Inside Story: Trends in Packaging and Sterilization
Eurofins Medical Device Testing (MDT) provides a full scope of testing services. In this interview, Eurofins’ experts, Sunny Modi, PhD, Director of Package Testing; and Elizabeth Sydnor, Director of Microbiology; answer common questions on medical device packaging and sterilization.

