Stories

0
2820
30
INSIDER: Manufacturing & Prototyping
A new high-speed 3D printing method beams a three-dimensional video into a container of photosensitive resin. The video plays while the container rotates for a few minutes — then the fluid...
Feature Image
INSIDER: Manufacturing & Prototyping
Researchers have discovered that cellulose nanocrystals in a viscous state can easily be shaped together with other biopolymers into complex three-dimensional structures using a 3D...
Feature Image
News: Medical
The medical gas equipment size is poised to exceed $7.2 billion by 2024; according to a new research report by Global Market Insights. According to the report,...
Feature Image
News: Manufacturing & Prototyping
Medbio Expands Manufacturing Capacity
Medbio, Grand Rapids, MI, has opened a second manufacturing facility. The company is an outsource manufacturer offering design and engineering, manufacturing, assembly, and packaging solutions for the medical and biotechnology industries. The newly renovated 25,000-square-foot facility is adjacent to Medbio’s...
News: Sensors/Data Acquisition
VivaLNK, Campbell, CA, has launched its IoT-enabled medical wearable Sensor Platform, complete with a range of sensors, edge computing technologies,...
Feature Image
INSIDER: Medical
Researchers have successfully used two methods to detect prions in skin samples collected from inoculated rodents. The study provides the first proof-of-concept evidence that...
Feature Image
INSIDER: Electronics & Computers
Neuroengineers have created a system that translates thought into intelligible, recognizable speech. By monitoring someone’s brain activity, the technology can reconstruct the words a...
Feature Image
INSIDER: Electronics & Computers
A newly developed graphene-based implant can record electrical activity in the brain at extremely low frequencies and over large areas, unlocking the wealth of information found...
Feature Image
INSIDER: Sensors/Data Acquisition
A new technology may change the way patients with diabetes monitor their glucose levels, thanks to new sensors being developed. Researchers are working with analyte sensors that could one...
Feature Image
News: Robotics, Automation & Control
MD&M West: From Cybersecurity to Artificial Intelligence — Medtech Trends to Watch in 2019
Medical Design Briefs is reporting from MD&M West 2019. Send us your questions and comments below. ANAHEIM, CA — The factors influencing the medtech industry's ability to innovate in 2019 range from cybersecurity to disruptive technology from...
Global Innovations: Medical
South Ural State UniversityChelyabinsk, Russiawww.susu.ru/en Anew device developed at South Ural State University is unlike analogous devices in that it involves all joints of a lower limb. The...
Feature Image
Features: Design
Why do some people develop malfunction of their mitral valve (MV) after a heart attack? The answers are complex, and treatments are not yet perfected. But biomedical...
Feature Image
R&D: Sensors/Data Acquisition
Researchers have created a novel, low-cost biosensor to detect HER-2, a breast cancer biomarker in the blood, allowing for a far less-invasive diagnostic test than the...
Feature Image
Products: Electronics & Computers
Board-to Board Connector A miniature board-to-board connector from Hirose, Downers Grove, IL, combines a rugged design with transmission speeds of more than 10 Gpbs to support a number of medical applications. Featuring...
Feature Image
R&D: Wearables
Researchers have developed a self-powered bandage that generates an electric field over an injury, dramatically reducing the healing time for skin wounds in rats. They wanted to develop a...
Feature Image
Products: Mechanical & Fluid Systems
Switching Power Supplies An AC/DC switching power supply series from Bicker Elektronik, Donauwoerth, Germany, has been developed for space-saving installation in medical devices and medical computer...
Feature Image
Briefs: Medical
Stanford engineers have developed an electronic glove containing sensors that could one day give robotic hands the sort of dexterity that humans take for granted.
Feature Image
Briefs: Materials
The wonders of graphene are numerous. It can enable flexible electronic components, enhance solar cell capacity, filter the finest subatomic particles, and revolutionize...
Feature Image
Briefs: Medical
More than one in eight people aged 75 and older in the United States develop moderate-to-severe blockage of the aortic valve in their hearts, usually caused by calcified deposits that build up on...
Feature Image
R&D: Manufacturing & Prototyping
Researchers have shown a way to use graphene oxide (GO) to add some backbone to hydrogel materials made from alginate, a natural material derived from seaweed that is currently used...
Feature Image
R&D: Medical
A technique that enables biologically active enzymes to survive the rigors of inkjet printing presents a promising alternative to routine blood screening exams faced by diabetic patients. The...
Feature Image
Briefs: Imaging
Researchers at Stanford University, Palo Alto, CA, have created a noninvasive technology that detects when nerve cells fire based on changes in shape. The method could be used to observe...
Feature Image
Briefs: Wearables
Traditionally, small chip antennas used in Bluetooth-enabled devices have required a designated ground “keep out” area to minimize interference from other components and ensure...
Feature Image
R&D: Medical
A 3D printed biosensor for use in wearable monitors could lead to improved glucose monitors for millions of people who suffer from diabetes. Using 3D printing, the research team developed a...
Feature Image
R&D: Medical
Using a small and inexpensive biosensor, researchers have built a diagnostic tool that provides healthcare practitioners almost instant diagnosis of a bacterial infection.
Feature Image
Features: Packaging & Sterilization
Selecting an adhesive when designing a wearable medical device is not a trivial exercise. Too often the adhesive selection process is executed with the mindset “tape is...
Feature Image
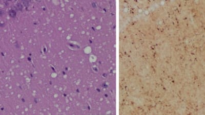
Briefs: Medical
Researchers at Johns Hopkins Medicine have identified in live human brains new radioactive “tracer” molecules that bind to and “light up” tau tangles, a protein associated...
Feature Image
Features: Medical
The wearable device product category is exploding in healthcare design. Wearing these sensory devices that continuously collect, measure and report the user's physiology, exercise behavior, lifestyle...
Feature Image

Ask the Expert

Ralph Bright on the Power of Power Cords
Feature Image

Understanding power system components and how to connect them correctly is critical to meeting regulatory requirements and designing successful electrical products for worldwide markets. Interpower’s Ralph Bright defines these requirements and explains how to know which cord to select for your application.

Inside Story

Inside Story: Trends in Packaging and Sterilization
Feature Image

Eurofins Medical Device Testing (MDT) provides a full scope of testing services. In this interview, Eurofins’ experts, Sunny Modi, PhD, Director of Package Testing; and Elizabeth Sydnor, Director of Microbiology; answer common questions on medical device packaging and sterilization.

Videos