Student Device May Help Avoid Repeated Breast Cancer Surgeries
During a lumpectomy, surgeons can’t immediately tell whether all the cancer cells were removed. The excised tissue must be preserved and analyzed in a time-consuming process. And, because of this delay, one in five patients must undergo a second surgery to remove remaining cancerous cells.
To reduce the need for repeated surgeries, four graduate students at Johns Hopkins University, Baltimore, MD, designed a device that can allow pathologists to quickly inspect the excised tissue, while the patient is still in the operating room. If the tumor was not fully removed, additional tissue can be taken during the same operation.
For many tumors, pathologists can flash-freeze tissue and slice samples for microscopic examination. Then, if cancer cells extend to the margin of a sample, a surgeon can remove more tissue during the operation. But breast tissue has a high fat content and does not freeze well, causing samples to smear and gap.
The device applies an adhesive film to stabilize the tissue so it can more easily sliced for examination. As a result, a sample can be reviewed within 20 minutes of removal. To view a video about this, see www.techbriefs.com/tv/breast-cancer.
Fiber-Optic Pen Allows Peek into Children’s Brains
Scientists at the University of Washington, Seattle, say that they have designed a low-cost computer- interfaced drawing pad that can see inside the brains of children with learning disabilities as they read and write. They researchers inserted two optical fibers into a ballpoint pen connected to a light-tight box in an adjacent control room where the pen’s movement is recorded. They also created a simple pad to hold paper printed with varying color gradients. The pen and pad allow researchers to record handwriting during functional magnetic resonance imaging (fMRI) to assess behavior and brain function at the same time.
The device connects to a computer with software that records every aspect of the handwriting, from stroke order to speed, hesitations and liftoffs. Understanding how these physical patterns correlate with a child’s brain patterns can help scientists understand the neural connections involved.
Although just beginning to analyze their data, the researchers say they have already found certain centers and neural pathways that were unexpectedly activated. Besides learning disorders, the device could be helpful in studying other conditions, such as stroke, multiple sclerosis, and Parkinson’s disease.
Advanced Materials Research Center Announced
The National Institute of Standards and Technology (NIST) plans to establish a new Advanced Materials Center of Excellence to facilitate collaborations between NIST and re searchers from academia and industry.
The planned center, which NIST expects to fund at approximately $25 million over five years, will emphasize innovations in measurement technology, modeling, simulation, and data and informatics tools related to advanced materials.
Only the second center of excellence in NIST history, it will create a concentration of technical cap ability to accelerate materials discovery and development. NIST will also collaborate with ASM International and its Computational Materials Data Network to establish an open, digital repository of materials data.
Telescopic Contact Lens Could Help Patients with AMD
While normal contact lenses can correct eyesight, they can’t improve blurry vision of people with age-related macular degeneration (AMD), because AMD destroys the macula, the part of the eye providing central vision. A team of researchers from the US and Switzerland has created a slim, telescopic contact lens that, they say, could help AMD patients enhance their vision. The lens can switch between normal and magnified vision using a modified pair of liquid crystal eyeglasses.
The lens system uses tightly fitting mirror surfaces to make a telescope integrated into a contact lens just over a millimeter thick. The center of the lens provides unmagnified vision, while the telescope at the periphery of the lens magnifies the view 2.8 times.
To switch between magnified and normal vision, users wear a pair of liquid crystal glasses originally designed to view 3-D televisions. The liquid crystals electrically change the orientation of polarized light and selectively block either the magnifying portion of the contact lens or its unmagnified center.
Auditory Stem Implant Help Tot Hear for First Time
The first-ever auditory stem implant in a child was recently performed on a three-year-old boy named Grayson. He was given the device, which allows his brain to process sound, during a surgery performed in May at University of North Carolina Hospitals, Chapel Hill.
Grayson was born with a genetic disorder that resulted in having no cochlear nerve in either ear, which would carry signals from his ears to his brain. So surgeons implanted a tiny microchip directly on the brainstem’s sound processing center. The chip can stimulate hearing because it bypasses the ears completely and is wired directly to the brain. Over time, doctors say the device he wears to interact with the microchip will be fine-tuned and improved.
The day the implant was turned on, Grayson heard his father’s voice for the first time. That sense of shock and wonder is vividly expressed in the picture of Grayson, shown here.
The device he received was originally designed for patients with deafness due to auditory nerve tumors, which impact hearing. The device is now being considered to help restore hearing in other children.
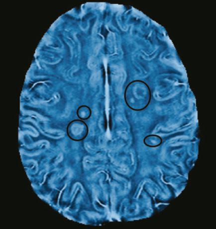
New MRI Technique for MS Research
Scientists at the University of British Columbia, Vancouver, Canada, have developed a new MRI technique that, they say, detects signs of multiple sclerosis (MS) in finer detail than ever before, which provides a more powerful tool for evaluating new treatments.
The technique analyzes the frequency of electromagnetic waves collected by an MRI scanner, instead of their size. Although analyzing the number of waves per second had long been considered a more sensitive way of detecting changes in tissue structure, the math needed to create usable images had proved daunting.
The researchers applied their method to 20 MS patients, who were scanned once a month for six months using both conventional MRI and the new frequency-based method.
Once lesions in the myelin appeared in conventional MRI scans, the scientists looked at earlier frequency-based images of those patients. And, by examining the precise areas of those lesions, they found frequency changes, which indicate tissue damage, at least two months before damage appeared on conventional scans.

