Researchers report that they have developed a technology to scan a tumor sample and produce images detailed and accurate enough to be used to check whether a tumor has been completely removed. Called photoacoustic imaging, the new technology takes less time than standard analysis techniques.
The researchers say this is a proof of concept that they can use photoacoustic imaging on breast tissue and get images that look similar to traditional staining methods without any sort of tissue processing. They are working on improvements that they expect will bring the time needed to scan a specimen down to 10 minutes, fast enough to be used during an operation.
The current gold-standard method of analysis, which is based on preserving the tissue and then staining it to make the cells easier to see, hasn’t gotten any faster since it was first developed in the mid-20th century. Currently, after surgery a specimen is sent to a pathologist, who slices it, stains it and inspects the margins for malignant cells under a microscope. Results are sent back to the surgeon within a few days.
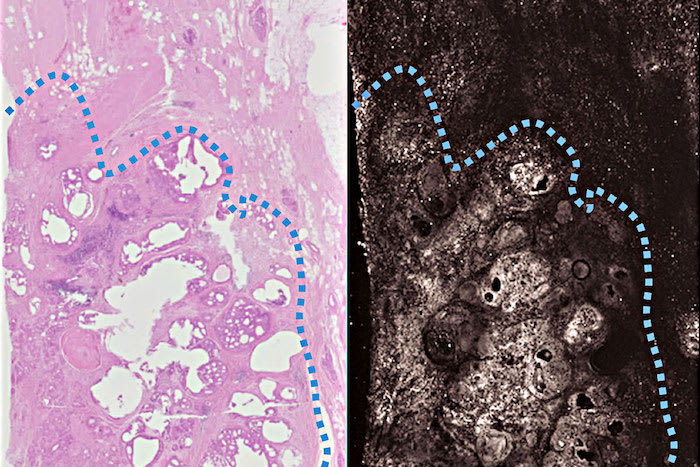
To speed up the process, the researchers took advantage of a phenomenon known as the photoacoustic effect. When a beam of light of the right wavelength hits a molecule, some of the energy is absorbed and then released as sound in the ultrasound range. These sound waves can be detected and used to create an image. The photoacoustic image matched the stained samples in all key features. The architecture of the tissue and subcellular detail such as the size of nuclei were clearly visible.

